Le CIR3 bénéficie de l’apport des plateformes afin de faire avancer la recherche et propose des perspectives de recherche innovantes aux différents laboratoires.
La plateforme Organoide

Les organoïdes sont des structures tridimensionnelles dérivées de cellules souches, capables de s'auto-organiser et de reproduire fidèlement, à petite échelle, des caractéristiques essentielles d'organes humains.

Ils constituent des modèles biologiques innovants, parmi les plus performants pour étudier in vitro les mécanismes physiopathologiques des maladies, évaluer l'efficacité et la toxicité des médicaments, et réduire significativement le recours aux modèles animaux.

Le développement d’une plateforme « Organoïdes » répond à un besoin partagé par de nombreux laboratoires de notre site clermontois, allant de la biologie fondamentale à la recherche translationnelle et clinique.

Crée en 2024 avec le soutien du CIR3 et de la CAM, cette plateforme a permis de mutualiser expertises, protocoles et équipements.

Elle constitue un outil structurant et fédérateur, favorisant les projets interdisciplinaires et les collaborations académiques et industrielles.

Après 1 an de travaux et d’installation, la plateforme Organoïdes CIR3 / UCA est opérationnelle depuis septembre 2025 et est localisée au 1er étage du CRBC.

La plateforme est dédiée au développement et à la mise au point de protocoles et de modèles de recherche alternatives aux modèles animaux.

Le but est de conseiller, former et accompagner les équipes des laboratoires de recherche clermontois associés au CIR3 dans leurs projets d’étude sur les organoïdes.

Les projets en cours :

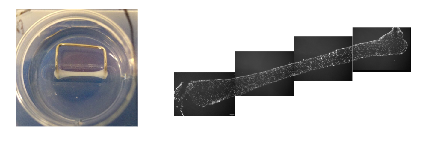
• Fibre musculaire en 3D grâce à un système "maison" de support fait en silicone et attaches métalliques


• Organoïdes intestinaux de souris.



• Myotubes chez des patients atteints de dystrophie musculaire et patients sains.